
Fill out the form below to learn more about the iCare EIDON

Offering the best of confocal technology, iCare EIDON® guarantees increased image sharpness, better optical resolution, higher details and greater contrast that takes retinal diagnostics to the next level. This combined with its easy-to-use interface and patient-friendly features make the iCare EIDON a valuable and efficient tool in any clinical setting.
Key features:
An iCare Sales Representative will walk you through our products and answer any questions you may have.
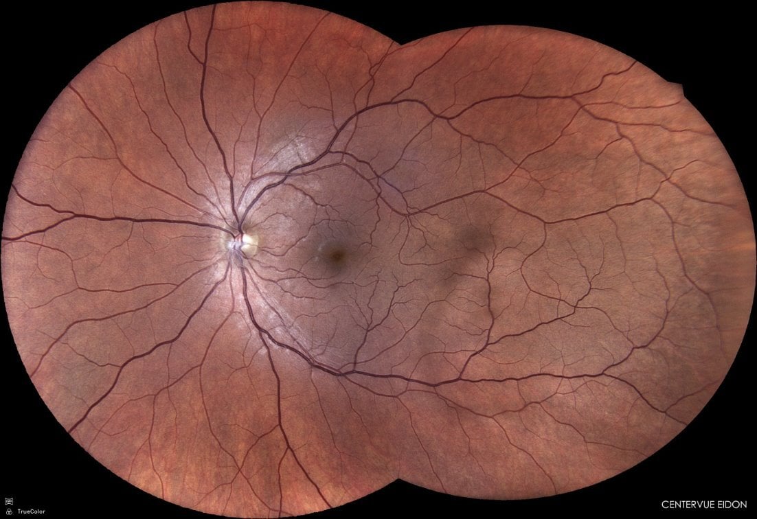
Capture the complete retinal landscape with iCare EIDON’s Ultra-Widefield optics, expanding your view up to 200°—covering both the central retina and the far periphery in vivid detail.
By applying high-definition TrueColor technology to ultra-widefield imaging, EIDON enhances detection and monitoring of peripheral pathologies that might otherwise go unnoticed. This advanced approach ensures accurate visualization across the entire retina.
Even the outermost regions retain exceptional sharpness and color fidelity, enabling earlier diagnosis and more confident clinical decisions.

"iCare EIDON Confocal Scanner allows for TrueColor imaging of the sharpness and clarity we have always desired."
Dr. Farrell C. Tyson
"iCare EIDON TrueColor Widefield Confocal Scanner gives great retinal images, far superior to a standard retinal camera: you are able to see certain conditions in much better visualization, such as Diabetic Retinopathy."
Dr. Steven G Ferrucci, FAAO
"iCare EIDON AF is able to perform Blue Autofluorescence in one shot, not disturbing too much the patient, easily and automatically, allowing us to speed up the workflow in the clinic."
Dr. Giovanni Staurenghi

iCare is a trademark of Icare Finland Oy. Icare Finland Oy, Icare USA, Inc., iCare World Australia Pty Ltd, China iCare Medical Technology Co. Ltd, Thirona Retina B.V. and CENTERVUE S.P.A., are parts of Revenio Group and represent the brand iCare. iCare COMPASS, iCare DRSplus, iCare EIDON, iCare EIDON AF, iCare EIDON FA, iCare IC100, iCare IC200, iCare ST500, iCare ILLUME, iCare MAIA, iCare ALTIUS and iCare RETCAD are trademarks or registered trademarks of Icare Finland Oy in the EU and the USA and/or other countries. CENTERVUE S.P.A. is the legal manufacturer of DRSplus, COMPASS, EIDON, EIDON AF, EIDON FA, EIDON UWF Module, DRS, MAIA, S-MAIA, iCare ALTIUS CW and iCare RETCAD. Not all products, accessories, services, or offers are approved in every market. Approved labeling and instructions may vary from one country to another. ©2025 Icare Finland Oy. All rights reserved.